皮肤创面修复材料
设计和合成适用于皮肤创面修复的水凝胶复合材料、生物功能化载药体系(负载生物活性因子、基因表达质粒、细胞分泌物等)、干细胞水凝胶培养技术、生物相容性评价、多种创面动物模型(全层损伤模型、感染创面模型、糖尿病创面模型、烧伤创面模型等)构建技术、免疫组化和病理分析平台等优质完善的解决方案,可为您的研究提供技术支持或一站式服务。

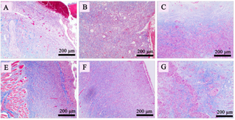
研究案例:
用于细菌感染创面治疗的多功能纳米酶材料



用于糖尿病创面治疗的静电纺丝纳米纤维材料


用于创面治疗的外泌体复合水凝胶材料


针对细菌感染、糖尿病难愈合以及运动部位创面模型,设计开发了多功能纳米材料、静电纺丝纳米纤维材料以及外泌体复合水凝胶材料改善创面微环境,促进再上皮化和创面愈合。