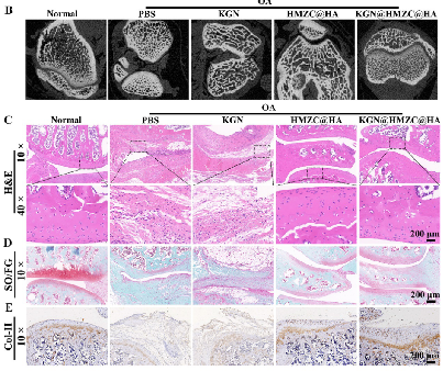
关节炎修复材料
根据关节生理学需求,我们定制化设计修复材料,能够实现关节的再生修复,减轻疼痛并改善功能。设计的材料可以负载干细胞和多种功能性药物,如抗炎药物、生长因子等,以加速修复过程并提高治疗效果。此外,我们提供针对关节损伤的动物模型建立、病理检验及分析、组学分析等一系列完善的解决方案,为医疗研究和临床治疗提供全面支持,不论是需要技术支持还是一站式服务。

研究案例:
多功能纳米酶材料


可注射水凝胶材料


针对关节炎模型,设计开发了多功能纳米酶材料和可注射水凝胶材料去润滑关节部位以及调节免疫微环境,促进关节修复。