骨缺损修复材料
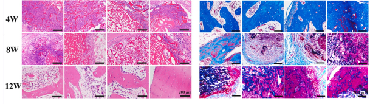
根据骨的生理学需求,个性化定制水凝胶,实现骨止血及再生。这些水凝胶能够负载干细胞和功能性药物,如小分子药物、活性因子、基因、外泌体等,从而增强治疗效果。我们提供细胞学评价、骨(颅骨、胫骨、股骨等)损伤动物模型建立、病理检验及分析、组学分析等优质完善的解决方案。无论您需要技术支持还是一站式服务,我们都能为您的研究提供全面支持。

研究案例:
3D打印支架材料




可注射纳米复合水凝胶材料




多功能智能响应性液晶水凝胶材料



针对颅骨缺损模型,设计开发了3D打印支架材料、可注射纳米复合水凝胶材料以及多功能智能响应性液晶水凝胶材料去调节骨微环境,促进成骨分化和骨修复。